Oral Hammaslaboratorioiden hammastekniset työt toteutetaan yhteistyössä hammaslääkäreiden kanssa. Alla kuvia Oral Lindent hammaslaboratorion potilastöistä, joissa vasemmalla kuvattuna hampaiston lähtötilanne ja oikealla saavutettu lopputulos.
Hammaslaminaattien uusiminen
Kolmen etuhampaan muovilaminaatit uusittu tummumisen ja epäsymmetrisyyden vuoksi.

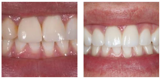
Etuhampaiden korvaaminen osakruunuilla
Etualueen värjäytyneet hampaat korvattu keraamisilla osakruunuilla.

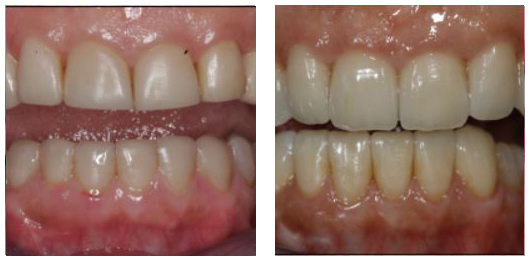
Purennan korjaus keraamisilla kruunuilla
Koko suun kuntoutus ja purennan korjaus keraamisilla rakenteilla.

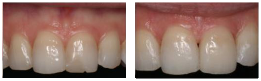
Yhden etuhampaan korjaaminen keraamisella kruunulla
Yhden etuhampaan korjaaminen on yksi vaikeimmista töistä. Oman hampaan ja keraamisen materiaalin eri valontaitto-ominaisuudet tulee suunnitella huolellisesti, jotta lopputuloksesta saadaan mahdollisimman luonnollisen näköinen.
