Röntgenkuvantaminen on keskeinen väline suun sairauksien diagnosoinnissa
Hampaiden ja leukojen alueen tulehdukset voivat olla sairauksien lisäksi yhteydessä raskausajan komplikaatioihin.
Hampaiden kuvantaminen on tärkeää suun hyvinvoinnin lisäksi myös potilaan yleisterveyden kannalta. Suun tulehdukset on tärkeää löytää ja hoitaa, sillä ne ovat yhteydessä moniin vakaviin sairauksiin, kuten valtimokovettumatautiin, Alzheimerin tautiin, diabetekseen ja eri syöpiin.
Raskautta suunnittelevan tai odottavan äidin on erityisen tärkeää pitää huolta suun terveydestä. Edennyt hampaiden kiinnityskudoksia tuhoava tulehdus tai viisaudenhampaan ympärillä olevan ikenen ja luun tulehdus voivat johtaa raskausajan komplikaatioihin ja aiheuttaa muun muassa sikiön pienikokoisuutta tai jopa ennenaikaisen synnytyksen.
Monen yleissairauden taustalla on matala-asteinen suun tulehdus. Tulehdukset eivät suoranaisesti aiheuta sairauksia, mutta ne ovat taustalla yhtenä tekijänä.

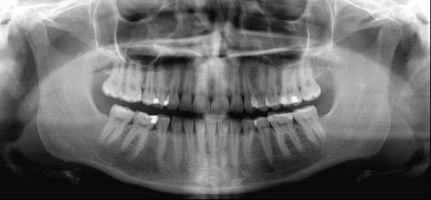
Kuvantaminen paljastaa myös oireettomia sattumalöydöksiä
Koko leuan hammasröntgen on hammashoidon perustutkimus, joka kuuluu ottaa silloin, kun kuvantamiseen löytyy riittävä peruste. Hammaslääkärin kuuluu selvittää aina röntgenkuvauksen yhteydessä kuvauksen syy ja kertoa potilaalle, millainen kuvaus on riittävä suun tilanteen oikean diagnoosin saamiseksi.
Yleisimpiä kuvausvaihtoehtoja ovat pikkukuvat yksittäisistä hampaista tai koko leuan kuvantaminen. Näiden perusteella on mahdollista päättää, onko epäilyttäviä alueita tarvetta tarkentaa 3D-tomografiakuvauksella. Näiden kaikkien kuvausmenetelmien säteilyannokset ovat alhaisia.
Kuvantamisella voidaan selvittää yleisimmin ientulehduksen aiheuttamaa luukatoa, kariesta, hampaiden juurenkärkien alueiden tulehduksia ja viisaudenhampaiden tilanne. Koko leuan kuvasta hammaslääkäri näkee suun hoitohistoriaa. Näin saadaan tietoa hoidon suunnittelua varten.
Panoraamakuvat paljastavat yllättäviä löydöksiä
Hampaiston ja leukojen panoraamakuvausta selvittävässä väitöskirjatutkimuksessa hammaslääkäriä pyydettiin kirjaamaan jokaisen koko leuan hammaskuvauksen yhteyteen tarkka syy, miksi kuvaukseen päädyttiin. Selvisi, että lähes 70 prosenttia kuvista paljastaa suusta yllättäviä löydöksiä eli jotakin muuta, kuin miksi kuvaus on alun perin tehty.
Potilaalla voi olla särkyä ylhäällä vasemmalla, mutta koko leuan röntgenkuva paljastaa suun muilla alueilla olevaa kariesta. Tai jos suu kuvataan tietyn hampaan poistoa suunniteltaessa, tulehduksia löydetään aivan toiselta puolelta suuta. Hammaslääkäri joutuukin aina pohtimaan tapauskohtaisesti, onko potilaan edun mukaista ottaa koko leuan kuva yksittäisen hampaan sijaan.
Tekoäly voidaan tulevaisuudessa valjastaa kertomaan kuvaustarpeesta
Tekoälyn hyödyntämistä hammashoidossa tutkitaan parhaillaan. Tulevaisuudessa sitä tullaan todennäköisesti käyttämään juuri kuvantamisessa. Nyt tutkitun perusteella tekoäly voisi havaita, milloin potilaan hampaat kannattaa kuvantaa.
Maailmalla kehitetään parhaillaan useita menetelmiä, joiden avulla tekoälyn avulla voitaisiin myös analysoida röntgenkuvia. Hammaslääkärin tehtävänä olisi varmistaa löydökset.